Берегите колени: чем опасны кроссовки Kangoo Jumps
Тренировки с Kangoo Jumps стремительно набирают популярность, но насколько они безопасны? Поскольку спорт относительно новый, у врачей пока не было возможности оценить долгосрочные последствия для здоровья, однако выводы, которые им уже удалось сделать, настораживают — по результатам МРТ-исследования, опубликованного в японском медицинском журнале, почти у 90% спортсменов уже наблюдаются аномалии коленных суставов.

Если вы адепт здорового образа жизни, увлекаетесь фитнесом, ну да или просто недавно проходили мимо спортзала с большими окнами, то наверняка видели эти чудо-кроссовки, которые позволяют скакать подобно кенгуру — отсюда и название. Тренировки с Kangoo Jumps действительно выглядят задорно, необычно и весело, но скептики насторожатся — насколько безопасен для коленей спорт, который подразумевает такое количество прыжков?
Отвечают авторы исследования, опубликованного в 2020 году в международном журнале Magnetic Resonance in Medical Sciences (Магнитный резонанс в медицинских науках). Авторы несколько раз подчеркивают, что для выявления долгосрочных последствий для здоровья необходимы дальнейшие наблюдения, но кое-какие выводы можно сделать уже сейчас — и они не слишком утешительны.

Еще в своем вступлении исследователи отмечают, что обувь, используемая в кенгуру-джампинге, изначально была разработана для снижения нагрузки на суставы бегунов, поскольку при беге трусцой их сбалансированная система защиты снижает силу удара о землю до 80%. А вот интенсивный бег или прыжки в кроссовках Kangoo Jumps, наоборот, могут привести к боли и травмам опорно-двигательного аппарата — а ведь именно танцы и интенсивные фитнес тренировки наиболее популярны сейчас у кенгу-джамперов.

Исследователи осмотрели 18 спортсменов, занимающихся кенгу-джампингом, и сделали 36 МРТ-снимков при помощи 3-теслового МРТ — по одному снимку на каждое колено. У всех участников исследования отсутствовали какие-либо симптомы, связанные с коленями; также для участия в исследовании спортсмены должны были не менее полугода заниматься кенгу-джампингом как минимум трижды в неделю по часу в день.
Целью исследователей было сравнить результаты с аналогичными снимками контрольной группы, которая состояла из 20 добровольцев того же возраста, пола и веса, но не занимающихся активными видами спорта на регулярной основе. Два ортопеда и один рентгенолог независимо друг от друга оценили все изображения на наличие или отсутствие каких-либо аномалий.

В 32 (88,9%) из 36 колен кенгу-джамперов наблюдались одна или несколько аномалий — в частности, наиболее частой патологией был отёк костного мозга, который МРТ выявила в 32 коленных суставах (88,9%). Также часто встречалась тендинопатия четырехглавой мышцы (80,6%), тендинопатия надколенника (63,9%), тендинопатия икроножной мышцы (63,9%), отек инфрапателлярной жировой ткани (75%), отек супрапателлярной жировой ткани (63,9%), изменение сигнала мениска (72,2%) и повреждение хрящей в пателлофеморальном суставе (72,2%).
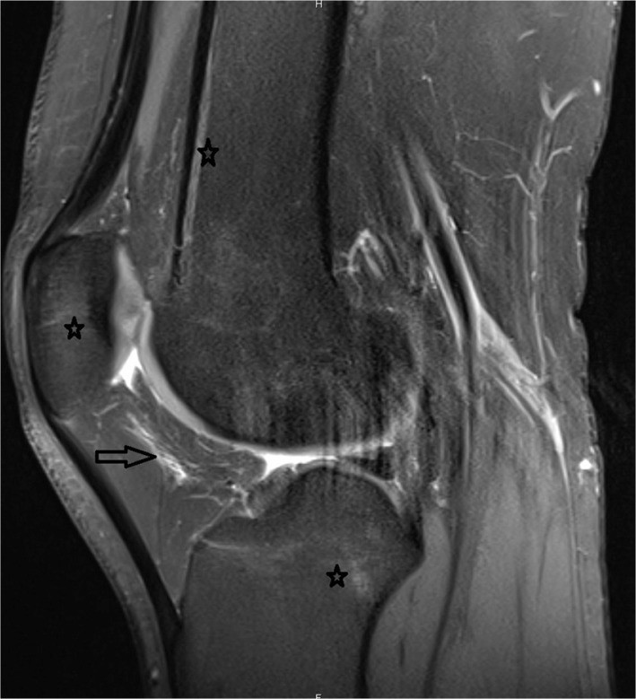
Пример: снимок колена 27-летней женщины без симптомов, занимающаяся кенгу-джампингом. Проксимальная звездочка показывает продольный отек костного мозга (BME) бедра, средняя звездочка показывает BME надколенника, дистальная звездочка показывает BME тибиофеморального сустава. Стрелкой показан отек поднадколенниковой жировой ткани. Тендинопатия надколенника и четырехглавой мышцы проявляется как изменение сигнала в месте их прикрепления.

Наиболее важным результатом, который исследователи наблюдали на МРТ-снимках коленей кенгу-джамперов, был отек костного мозга (BME). Большинство травматических BME колена коррелируют с механизмом повреждения колена. Также исследователи отметили влияние повторяющихся прыжков на переднюю часть бедренной кости и сухожилия разгибателей, в частности при приземлении.
В качестве реакций на это напряжение развиваются отеки, микротрещины и микроразрывы — если последние заживают неправильно, это приводит к дегенерации сухожилий. Среди спортсменов, занимающихся другими видами спорта, подобные повреждения чаще всего наблюдаются у баскетболистов.
Подводя итог, исследователи отметили необходимость долгосрочных последующих исследований, чтобы лучше понять значение этих результатов. Однако уже можно говорить о вероятности острых травм колена и развития хронических проблем с суставами, таких как остеоартрит.

1 комментарий