Ученые пересадили мозг человека крысе — как это поможет в лечении смертельных болезней?
Ученые успешно пересадили органоиды коры головного мозга человека в мозг здоровых крысят и взрослых мышей. Органоид вырастал и соединялся с окружающей тканью, в результате чего даже мог выполнять определенные функции. На этот раз исследователи пошли еще дальше — они пересадили ткань человеческого мозга крысам, которые имели серьезные повреждения коры головного мозга.
Цель этого исследования заключалось в том, чтобы выяснить, смогут ли ткани человеческого мозга восстановить работу мозга крыс. Таким образом ученые хотели понять, насколько данная технология может быть полезна на практике при лечении тех или иных мозговых заболеваний.

Ученые успешно пересадили ткани мозга человека в мозг крысы
Как ученые создали мини-мозг человека
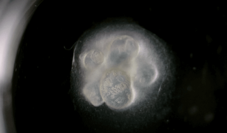
Как и в прошлый раз, команда Пенсильванского университета, которую возглавил доктор Хан-Чиао Исаак Чен, вырастила органоид мозга из стволовых клеток. В течение нескольких месяцев исследователи при помощи химических сигналов старались объединить отдельные стволовые клетки в трехмерные скопления, содержащие такие же клетки, как в коре мозга, которая включает в себя шесть отдельных слоев ткани.
Спустя 80 дней ученым удалось получить органоид, имеющий похожие слои. Но “похожие” — это еще не значит «такие же самые». Органоид имел не все виды клеток, которые есть в коре, а также имел некоторые другие серьезные отличия.
“Хотя скопления ткани во многих отношениях напоминают настоящую кору, они никоим образом не идеальны” — говорит доктор Хан-Чиао Исаак Чен.
Чтобы впоследствии легче было проводить исследование, стволовые клетки предварительно генетически модифицировали, в результате чего они стали экспрессировать зеленый флуоресцентный белок. В результате ученым удобнее было следить за развитием органоида, вживленного в мозг грызуну.

Ученые создали органоид мозга из стволовых клеток человека
Человеческий ограноид восстановил мозг крысы
Крысы, которые принимали участие в новом исследовании, получили серьезную травму вторичной зрительной коры. Задача органоида состояла в том, чтобы восстановить работу этого участка мозга, имеющего одно из ключевых значений для зрения.
Напомним, что после того, как свет попадает на сетчатку глаза, электрический импульс направляется к первичной зрительной коре, где анализируются основные характеристики изображения, захваченного глазом. Затем обработанные данные передаются во вторичную зрительную кору, которая окончательно обрабатывает полученные данные, в результате чего мы видим картинку.

Органоид успешно интегрировался в мозг грызуна
Чтобы пересадить органоиды в мозг крысам, исследователи удалили у них часть черепа, затем трансплантироали органоид в поврежденную часть мозга, и закрыли отверстие в черепе защитным колпачком. Чтобы предотвратить иммунное отторжение трансплантата, животным во время процедуры и после операции давали иммунодепрессанты, которые угнетали иммунную систему.
Как сообщает команда в своем исследовании, спустя три месяца кровеносные сосуды мозга проникли в органоиды. При этом клетки органоидов “переплелись” физически с клетками мозга, отвечающими за обработку зрительной информации. При этом органоиды увеличились в размере и удлинились, чтобы соединиться с клетками мозга грызунов. Также органоиды успешно соединились с сетчаткой.
Какие болезни ученые смогут лечить при помощи органоидов
Итак, интеграция произошла на физическом уровне. Но как на счет функционирования имплантата? Чтобы выяснить это, грызунам показали визуальные стимулы — мигающие огни и черно-белые полосы на экране. В результате органоиды активизировались так же, как это должна была сделать неповрежденная зрительная кора.

При помощи орагноидов ученые смогут лечить болезнь Паркинсона и ряд других опасных заболеваний
К сожалению, тесты на зрение и поведение крыс пока еще не проводились. Ученые занимаются этим в данный момент. Кроме того, они хотят выяснить, получился ли точно так же интегрировать органоиды в другие участки мозга.
Если дальнейшие исследования пройдут тоже успешно, данную технологию впоследствии можно будет использовать для восстановления функций мозга после травм, операций или инсульта. Кроме того, органоиды могут устранить последствия нейродегенеративных заболеваний, таких как болезнь Паркинсона и пр. Но, прежде чем органоид будет вживлен в человеческий мозг, пройдет еще немало времени, так как необходимо будет провести ряд дополнительных исследований.
0 комментариев